Downtown Dental Excellence

Our Patient Success Gallery

The first step towards a beautiful smile and a lifetime of good oral health is to schedule an appointment. Our office works with numerous Insurance Carriers. For your convenience, we offer a variety of payment options. Call or email Downtown Dental Excellence today to schedule your appointment. We look forward to serving you for years to come!

Call Downtown Dental Excellence Today!

(281) 592-0597

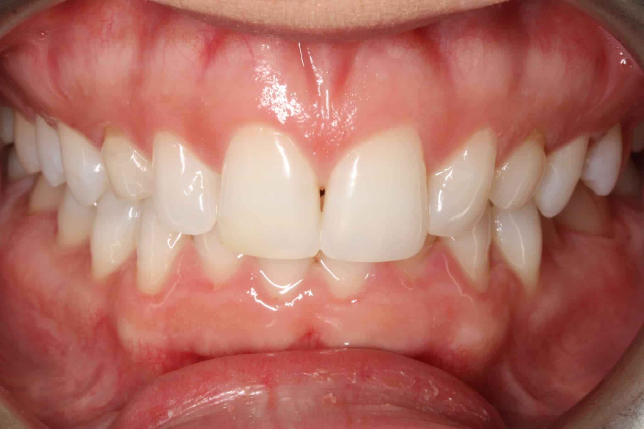
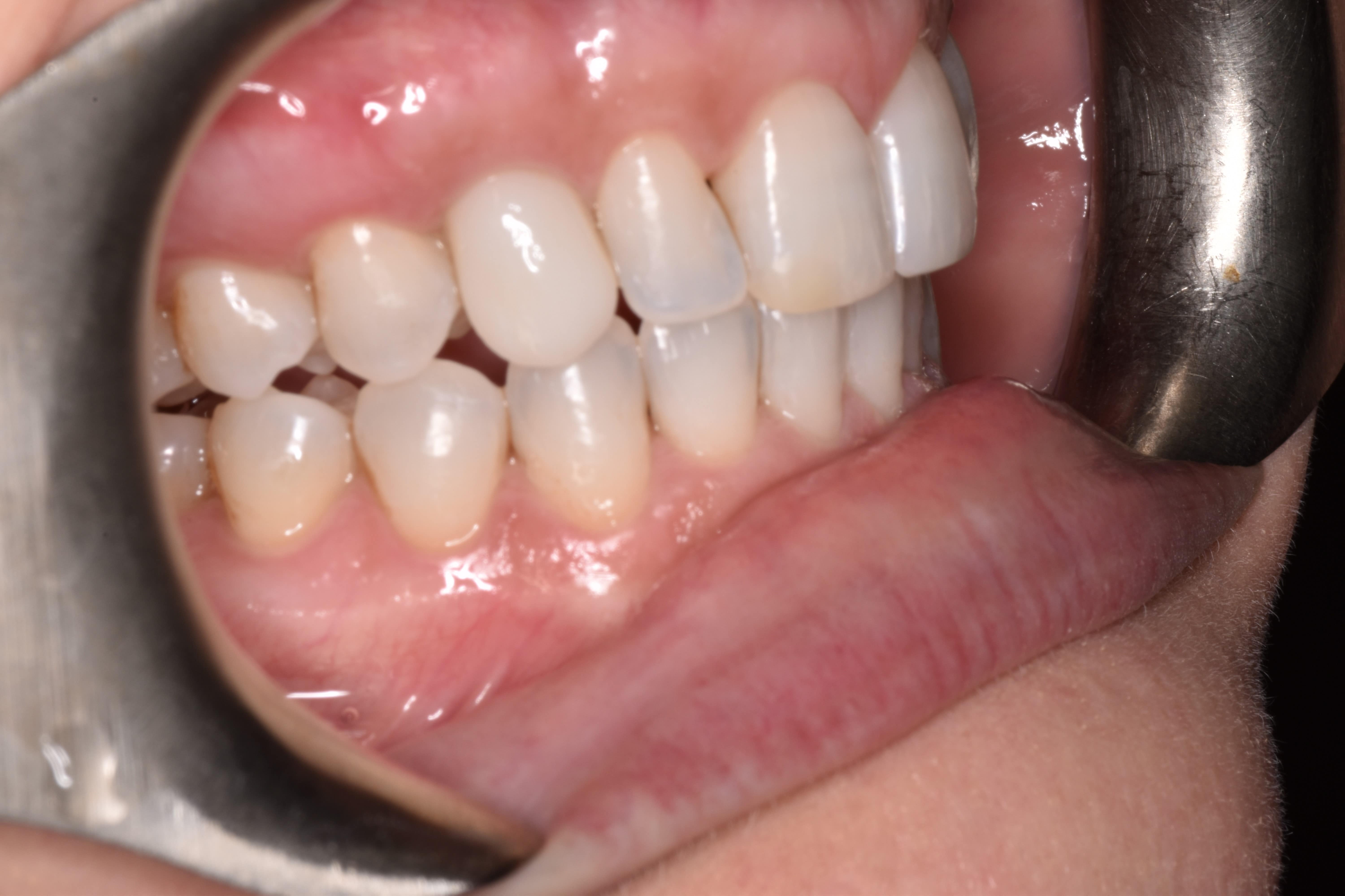
Sandy

This is Sandy. Sandy was born without her permanent cuspids. She had tiny baby teeth instead of adult teeth. Sandy had to have orthodontics to correct spacing, then we placed dental implants and implant crowns to give her teeth that look like adult teeth and not baby teeth. You would never know that she has "fake teeth."

Jennifer

This is Jennifer. Jennifer wanted a prettier smile. She had braces earlier in life, and her teeth had shifted. She also had some discolorations, broken teeth, and an old crown that needed to be replaced. We were able to do some gum contouring, veneers, and crowns to get her smile looking better.

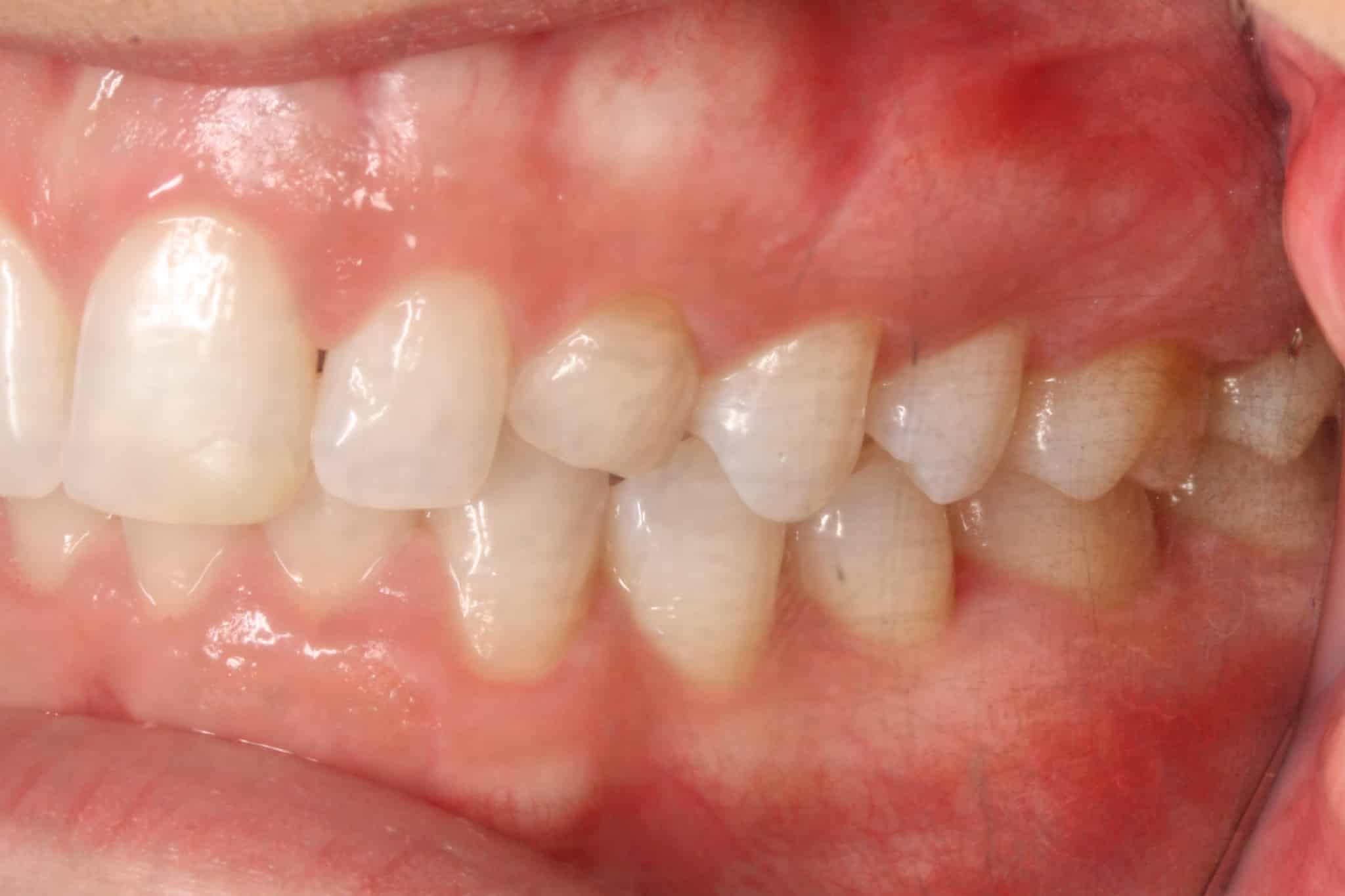
Breanna

This is Breanna. When Breanna was 21, another dentist told her that she was going to have to get dentures. She came to us for a second opinion. We were able to treat her gum disease and decay and help her keep her teeth! Breanna is now 31 and has been saving up for veneers to cover up the old bonding and discolorations on her teeth. She now has a beautiful smile and no dentures.

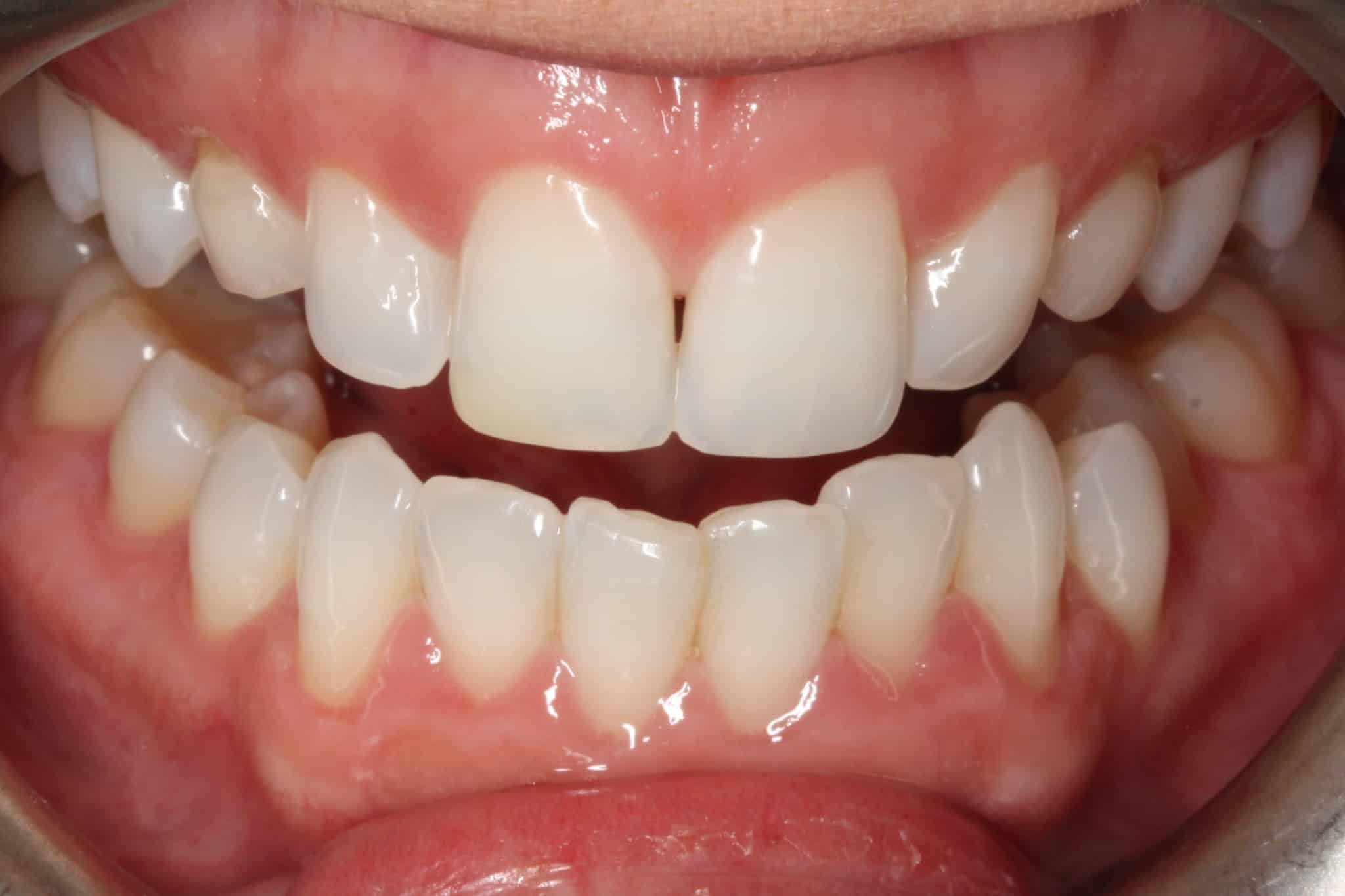
Sarah

This is Sarah. Sarah had been neglecting her teeth for a while and was embarrassed to come in. Her sister was getting married, and she decided that she wanted to get her tooth fixed for the wedding. We were able to restore her tooth with a buildup and a crown, and we were able to do it in ONE day so that she could smile really big on the big day!

Brandon

This is Brandon. Brandon was born with a condition known as Amelogenesis Imperfecta. It is a disorder that affects the structure and appearance of the enamel of the teeth. This condition causes teeth to be unusually small, discolored, pitted or grooved, and prone to rapid wear and breakage with early tooth decay and loss. This condition affected all of his teeth, so we had to rebuild all of his teeth and give him a totally new, healthy smile.

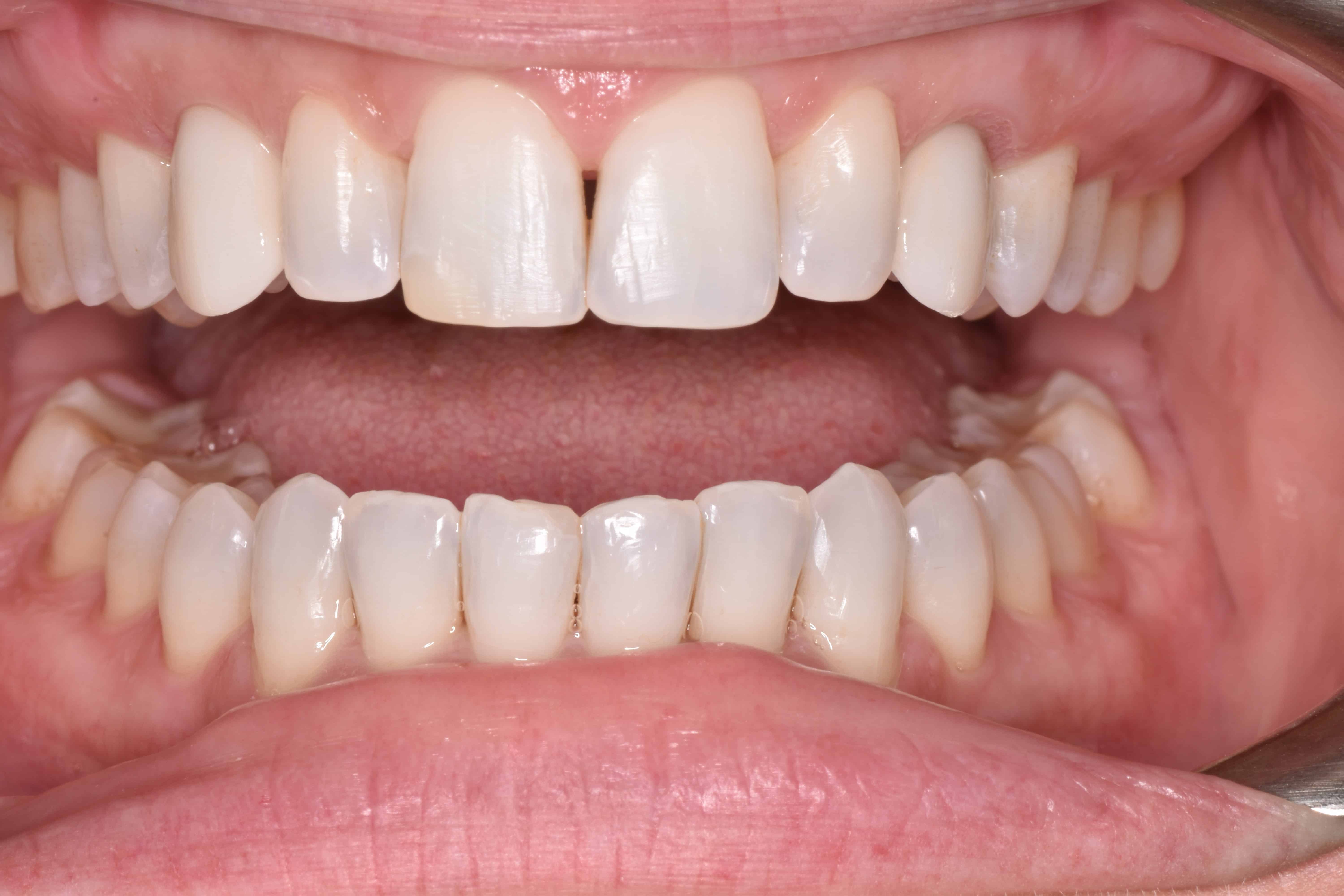
Valerie

This is Valerie. Valerie was born with peg laterals. She has always hated her smile. She finally decided she wanted to get her smile back. We were able to do her treatment in one day thanks to our technology. We used our CAD/CAM technology, CEREC, to design and mill her crowns in the office on the same day! She was super excited.